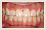
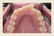
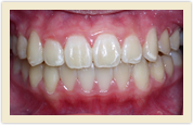
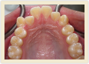
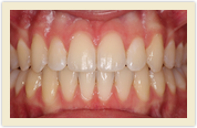
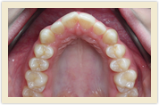
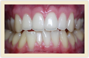
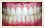
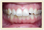
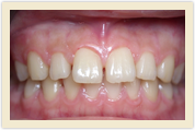
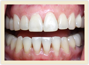
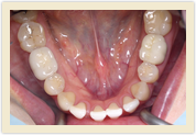
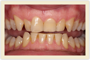
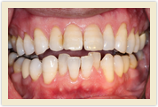
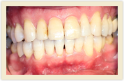
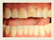
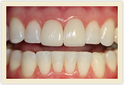
Invisalign
Applied Procedures:
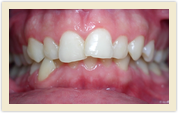
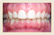
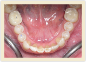
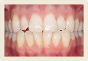
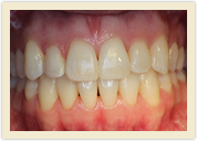
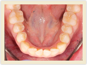
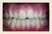
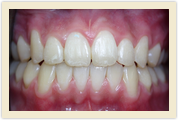
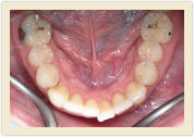
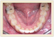
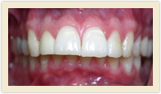
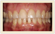
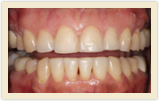
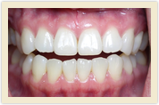
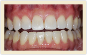
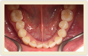
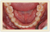
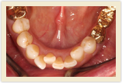
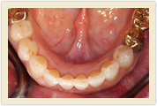
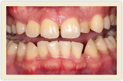
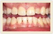
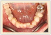
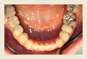
Invisalign
![]() |
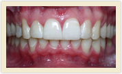
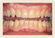
![]() |
| Before Photo | After Photo |
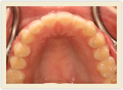
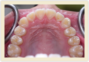
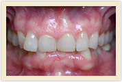
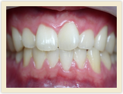
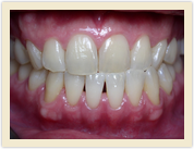
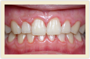
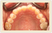
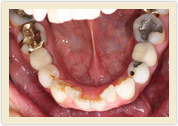
![]() |
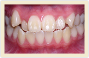
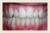
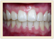
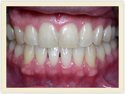
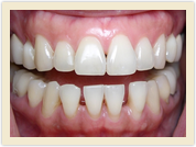
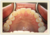
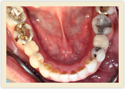
![]() |
| Before Photo | After Photo |
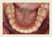
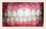
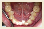
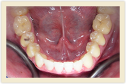
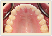
Crowding, Crossbite
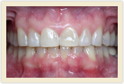
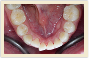
![]() |
![]() |
| Before Photo | After Photo |
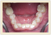
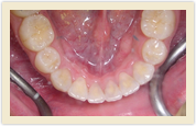
![]() |
![]() |
| Before Photo | After Photo |
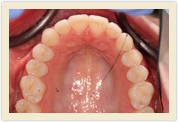
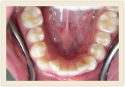
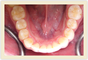
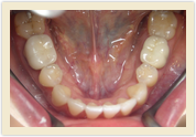
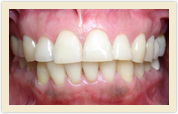
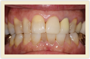
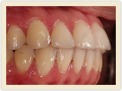
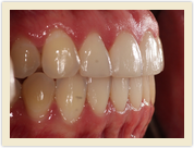
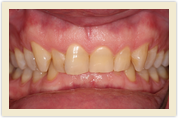
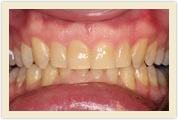
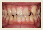
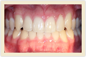
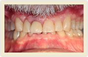
Congenitally missing teeth, Crowding, Anterior crossbite
![]() |
![]() |
| Before Photo | After Photo |
![]() |
![]() |
| Before Photo | After Photo |
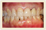
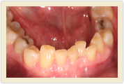
Congenitally missing tooth
![]() |
![]() |
| Before Photo | After Photo |
![]() |
![]() |
| Before Photo | After Photo |
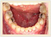
Congenitally missing teeth, Crowding
Applied Procedures:
Invisalign
![]() |
![]() |
| Before Photo | After Photo |
![]() |
![]() |
| Before Photo | After Photo |
Crowding, Narrow arches
Applied Procedures:
Invisalign
![]() |
![]() |
| Before Photo | After Photo |
![]() |
![]() |
| Before Photo | After Photo |
Crowding, Deep bite, Narrow arches
![]() |
![]() |
| Before Photo | After Photo |
![]() |
![]() |
| Before Photo | After Photo |
Crowding, Deep bite
Applied Procedures:
Invisalign
![]() |
![]() |
| Before Photo | After Photo |
![]() |
![]() |
| Before Photo | After Photo |
Crowding, Crossbite
Applied Procedures:
Invisalign
![]() |
![]() |
| Before Photo | After Photo |
![]() |
![]() |
| Before Photo | After Photo |
Crowding, Deep bite
Applied Procedures:
Invisalign
![]() |
![]() |
| Before Photo | After Photo |
![]() |
![]() |
| Before Photo | After Photo |
Crowding, Open bite
Applied Procedures:
Invisalign
![]() |
![]() |
| Before Photo | After Photo |
![]() |
![]() |
| Before Photo | After Photo |
Crowding, Open bite
Applied Procedures:
Invisalign
![]() |
![]() |
| Before Photo | After Photo |
![]() |
![]() |
| Before Photo | After Photo |
![]() |
![]() |
| Before Photo | After Photo |
![]() |
![]() |
| Before Photo | After Photo |
Crowding
![]() |
![]() |
| Before Photo | After Photo |
![]() |
![]() |
| Before Photo | After Photo |
Applied Procedures:
Invisalign
![]() |
![]() |
| Before Photo | After Photo |
![]() |
![]() |
| Before Photo | After Photo |
Deep bite, Crowding
![]() |
![]() |
| Before Photo | After Photo |
![]() |
![]() |
| Before Photo | After Photo |
![]() |
![]() |
| Before Photo | After Photo |

































































































































