Dental Veneers
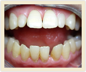
![]() |
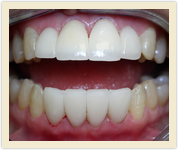
![]() |
| Before Photo | After Photo |
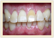
![]() |
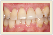
![]() |
| Before Photo | After Photo |
Applied Procedures:
Dental Veneers
![]() |
![]() |
| Before Photo | After Photo |
![]() |
![]() |
| Before Photo | After Photo |
![]() |
![]() |
| Before Photo | After Photo |
Applied Procedures:
Dental Veneers
![]() |
![]() |
| Before Photo | After Photo |
Applied Procedures:
Dental Veneers
![]() |
![]() |
| Before Photo | After Photo |
Applied Procedures:
Dental Veneers
![]() |
![]() |
| Before Photo | After Photo |
![]() |
![]() |
| Before Photo | After Photo |





















