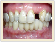
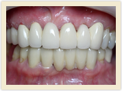
Dental Bridges
![]() |
![]() |
| Before Photo | After Photo |
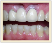
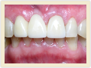
Full arch reconstruction with Lava crowns
![]() |
![]() |
| Before Photo | After Photo |
![]() |
![]() |
| Before Photo | After Photo |
Implant supported bridge with e-max crowns
![]() |
![]() |
| Before Photo | After Photo |
![]() |
![]() |
| Before Photo | After Photo |
All-on-4 Full arch rehabilitation with a fixed bridge
Applied Procedures:
Dental Implants, Cosmetic Crowns, Dental Bridges, Tooth Extractions, Full Mouth Reconstruction
![]() |
![]() |
| Before Photo | After Photo |
![]() |
![]() |
| Before Photo | After Photo |
![]() |
![]() |
| Before Photo | After Photo |
![]() |
![]() |
| Before Photo | After Photo |
![]() |
![]() |
| Before Photo | After Photo |
Applied Procedures:
Dental Bridges
![]() |
![]() |
| Before Photo | After Photo |
![]() |
![]() |
| Before Photo | After Photo |
Metal-free bridge with Lava crowns
![]() |
![]() |
| Before Photo | After Photo |
Applied Procedures:
Dental Bridges
![]() |
![]() |
| Before Photo | After Photo |

































