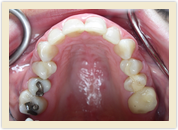
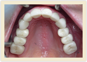
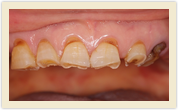
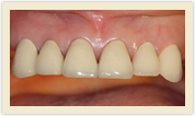
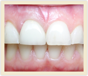
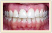
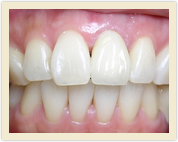
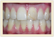
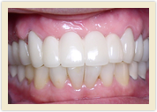
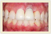
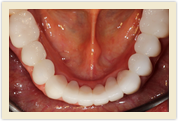
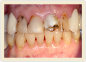
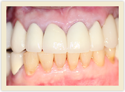
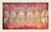
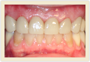
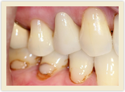
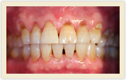
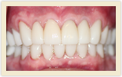
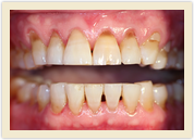
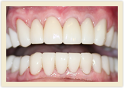
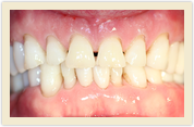
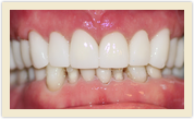
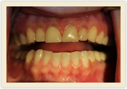
Cosmetic Crowns
![]() |
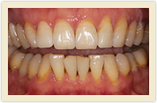
![]() |
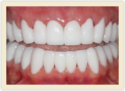
| Before Photo | After Photo |
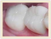
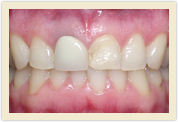
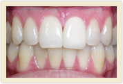
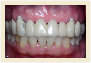
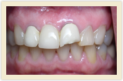
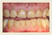
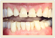
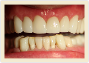
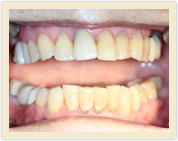
![]() |
![]() |
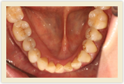
| Before Photo | After Photo |
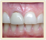
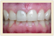
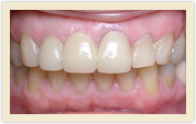
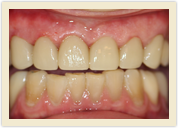
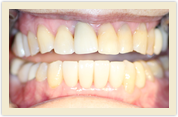
![]() |
![]() |
| Before Photo | After Photo |
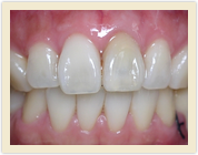
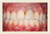
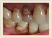
![]() |
![]() |
| Before Photo | After Photo |
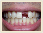
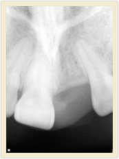
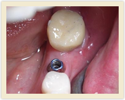
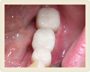
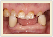
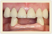
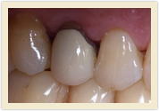
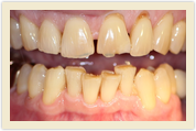
Congenitally missing tooth
![]() |
![]() |
| Before Photo | After Photo |
![]() |
![]() |
| Before Photo | After Photo |
![]() |
![]() |
| Before Photo | After Photo |
![]() |
![]() |
| Before Photo | After Photo |
![]() |
![]() |
| Before Photo | After Photo |
![]() |
![]() |
| Before Photo | After Photo |
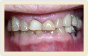
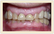
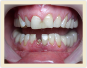
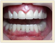
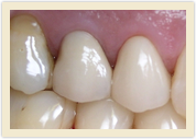
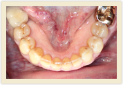
Implant supported bridge with e-max crowns
Applied Procedures:
Dental Implants, Cosmetic Crowns, Dental Bridges, Tooth Extractions, Full Mouth Reconstruction
![]() |
![]() |
| Before Photo | After Photo |
![]() |
![]() |
| Before Photo | After Photo |
![]() |
![]() |
| Before Photo | After Photo |
![]() |
![]() |
| Before Photo | After Photo |
![]() |
![]() |
| Before Photo | After Photo |
![]() |
![]() |
| Before Photo | After Photo |
![]() |
![]() |
| Before Photo | After Photo |
![]() |
![]() |
| Before Photo | After Photo |
![]() |
![]() |
| Before Photo | After Photo |
![]() |
![]() |
| Before Photo | After Photo |
![]() |
![]() |
| Before Photo | After Photo |
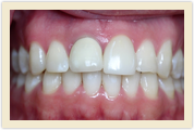
Congenitally missing teeth, Crowding
![]() |
![]() |
| Before Photo | After Photo |
![]() |
![]() |
| Before Photo | After Photo |
Full arch reconstructions with Lava crowns
![]() |
![]() |
| Before Photo | After Photo |
![]() |
![]() |
| Before Photo | After Photo |
![]() |
![]() |
| Before Photo | After Photo |
Applied Procedures:
Cosmetic Crowns
![]() |
![]() |
| Before Photo | After Photo |
Applied Procedures:
Cosmetic Crowns
![]() |
![]() |
| Before Photo | After Photo |
Applied Procedures:
Cosmetic Crowns
![]() |
![]() |
| Before Photo | After Photo |
![]() |
![]() |
| Before Photo | After Photo |
Applied Procedures:
Cosmetic Crowns
![]() |
![]() |
| Before Photo | After Photo |
Applied Procedures:
Cosmetic Crowns
![]() |
![]() |
| Before Photo | After Photo |
Applied Procedures:
Cosmetic Crowns
![]() |
![]() |
| Before Photo | After Photo |
Applied Procedures:
Cosmetic Crowns
![]() |
![]() |
| Before Photo | After Photo |
Applied Procedures:
Cosmetic Crowns
![]() |
![]() |
| Before Photo | After Photo |
Applied Procedures:
Cosmetic Crowns
![]() |
![]() |
| Before Photo | After Photo |
![]() |
![]() |
| Before Photo | After Photo |
![]() |
![]() |
| Before Photo | After Photo |
Metal-free bridge with Lava crowns
Applied Procedures:
Cosmetic Crowns
![]() |
![]() |
| Before Photo | After Photo |
![]() |
![]() |
| Before Photo | After Photo |
![]() |
![]() |
| Before Photo | After Photo |
![]() |
![]() |
| Before Photo | After Photo |
Crowding
Applied Procedures:
Cosmetic Crowns
![]() |
![]() |
| Before Photo | After Photo |
Applied Procedures:
Cosmetic Crowns
![]() |
![]() |
| Before Photo | After Photo |
![]() |
![]() |
| Before Photo | After Photo |
![]() |
![]() |
| Before Photo | After Photo |
![]() |
![]() |
| Before Photo | After Photo |
![]() |
![]() |
| Before Photo | After Photo |
![]() |
![]() |
| Before Photo | After Photo |
![]() |
![]() |
| Before Photo | After Photo |
![]() |
![]() |
| Before Photo | After Photo |
Applied Procedures:
Cosmetic Crowns
![]() |
![]() |
| Before Photo | After Photo |
![]() |
![]() |
| Before Photo | After Photo |
Applied Procedures:
Cosmetic Crowns
![]() |
![]() |
| Before Photo | After Photo |
![]() |
![]() |
| Before Photo | After Photo |
Applied Procedures:
Cosmetic Crowns
![]() |
![]() |
| Before Photo | After Photo |





















































































































